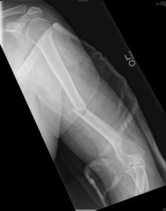
Fractures to the mid portion (shaft) of the upper arm (humerus) are not as common as fractures to the shoulder region. The humeral shaft is cylindrical in shape and serves as a point of attachment for several muscles that aid in movement of the shoulder and elbow. The radial nerve travels intimately close to the humeral shaft and fractures in this area can cause injury to the nerve. Damage to the radial nerve in this region can cause an inability to extend the wrist and fingers.

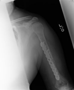
Humeral shaft fractures can be treated with bracing in many circumstances. The brace will help to hold fracture alignment while allowing function of the arm to resume. When alignment cannot be adequately held by the brace, or when a faster return to weight bearing on the arm is necessary, surgery may be performed. Surgery typically entails placing a plate and screws or a rod and screws to fix the fracture. Healing time and return to full activity are often less with surgery than with nonsurgical treatment.

Fracture locations:
Hip fracture (proximal femur fracture)
Thigh fracture (femur shaft fracture)
Knee fracture (distal femur, patella, and tibial plateau fractures)
Shin fracture (tibial shaft fracture)
Ankle fracture (including pilon fracture)
Shoulder fracture (proximal humerus, and clavicle fractures)