Why would a hip replacement be performed?
Hip replacement – also called hip arthroplasty – is a procedure performed in order to obtain relief from symptoms of arthritis that are not alleviated by nonsurgical treatments.
What is arthritis?
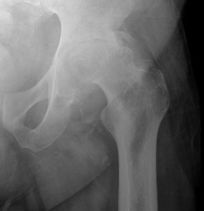
Bone surfaces at joints (such as the hip, knee, or shoulder) are covered by a smooth tissue called cartilage which allows the surfaces to move against each other while providing protection to the bone ends. Arthritis (also called degenerative joint disease) is a condition where this cartilage wears away and changes begin taking place within the joint (figure 1). As cartilage degeneration occurs, pain can develop which can be severe and functional limitations can result.

Note preservation of joint space and congruent hip.

Note complete obliteration of joint space with deformity.
What is direct anterior hip replacement and how does it differ from traditional hip replacement?
Hip replacement is a surgery whereby the ball and socket of the hip joint are replaced by artificial surfaces (commonly metal and plastic parts). The “ball” (femoral head) is removed and is replaced with an artificial ball that is connected to a stem that fits inside of the thigh bone (femur). A metal cup is placed into the socket and fit with a plastic liner that will articulate with the new artificial femoral head (figure 2).

Direct anterior hip replacement refers to a particular surgical technique whereby the new hip is placed through an incision that is located in the front of the hip (anterior), as opposed to an incision placed on the side or back part of the hip. The direct anterior approach to the hip joint is performed by exposing the hip joint by dissecting in between muscles as opposed to other approaches where muscles/tendons are cut in order to gain access to the hip joint for replacement.
There are many reported advantages to direct anterior total hip replacement when compared to alternative techniques for hip replacement, although it is important to note that every surgical approach has its risks and benefits that can be discussed with your doctor prior to deciding to go forward with any surgery. Some of the potential advantages of direct anterior hip replacement include decreased pain postoperatively, shorter hospital stay, and decreased time post-surgery where an assistive ambulatory device (walker or cane) is necessary1.
- Christensen CP, Jacobs CA. Comparison of patient function during the first six weeks after direct anterior or posterior total hip arthroplasty (THA): a randomized study. J Arthroplasty. 2015;30(Suppl 9):94-97.