A break in the shin bone (tibia shaft) can occur from either high energy or low energy mechanisms. Tibial shaft fractures occur in young and in elderly individuals. Because the tibia is mostly a subcutaneous bone (meaning positioned right below the skin without overlying muscle) throughout its course in the lower leg, open fractures (where the bone protrudes out through a break in the skin) are not uncommon. Open fractures are, in general, at an increased risk of developing complications. Tibia shaft fractures are also somewhat unique because the tibia does not have the same robust blood supply that we see in the femur, for example, and is therefore more prone to delayed healing and/or nonunion (a condition where the bone fails to heal).
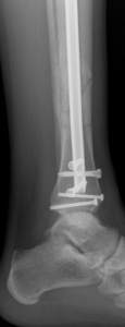
Tibia shaft fractures in adults can be treated by a variety of techniques depending on many factors. Some of these techniques might even be used in combination at times and include: casting, bracing, external fixation (where pins are inserted into the bone and connected to rods outside of the skin), plates and screws, and rods (also referred to as nails) placed inside the bone (Figure 1). The time it takes for a tibia shaft fracture to heal can vary greatly depending on the characteristics of the injury as well as patient factors. One of the most important modifiable patient factors that can delay healing in tibia fractures is tobacco/nicotine use. Nicotine use can significantly inhibit bone healing and a tibial shaft fracture is an excellent reason to stop smoking.



Fig 1. Tibia fracture treated with a rod and screws
Fracture locations:
Hip fracture (proximal femur fracture)
Thigh fracture (femur shaft fracture)
Knee fracture (distal femur, patella, and tibial plateau fractures)
Shin fracture (tibial shaft fracture)
Ankle fracture (including pilon fracture)
Shoulder fracture (proximal humerus, and clavicle fractures)