Why would a knee replacement be performed?
Knee replacement – also called knee arthroplasty – is a procedure performed in order to obtain relief from symptoms of arthritis that are not alleviated by nonsurgical treatments.
What is arthritis?
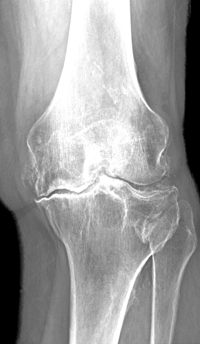
Bone surfaces at joints (such as the hip, knee, or shoulder) are covered by a smooth tissue called cartilage which allows the surfaces to move against each other while providing protection to the bone ends. Arthritis (also called degenerative joint disease) is a condition where this cartilage wears away and changes begin taking place within the joint (figure 1). As cartilage degeneration occurs, pain can develop which can be severe and functional limitations can result.


What does knee replacement surgery do to my knee?
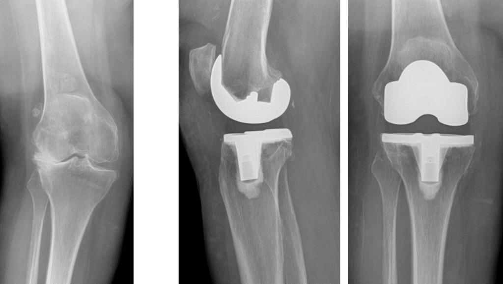
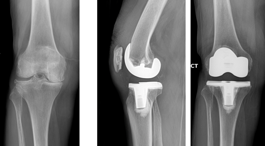
Knee replacement is a surgery whereby the surfaces of the knee joint are replaced by artificial surfaces (commonly metal and plastic parts). The arthritic surfaces of the femur (thigh bone) and tibia (shin bone) at the knee are removed and replaced with metal load bearing surfaces. A plastic liner that will fit onto the new metal tibial surface and articulate with the new artificial metal surface on the femur is inserted as well (figure 2). A plastic (or metal and plastic) piece may or may not be used to resurface the patella (knee cap) depending upon how much arthritis is present in this part of the joint.

Although results can differ significantly from person to person, the expected postoperative course for most is to be up walking the day of surgery with a walker under the direction of a physical therapist. Most people will go home the day of surgery or the following day. It is important to keep the operative knee straight when resting in bed. Rehab will consist of working hard in the first few weeks to regain as much motion as possible, but especially full knee extension. A follow up appointment will occur around two weeks after surgery to check the surgical incision. As muscle strength is regained the walker may be traded out for a cane, and ultimately most people will walk without any assistive device by 6 weeks, although time to walking without assistance varies from person to person.

