The term “hip fracture” refers to a group of several different types of fractures that occur around the hip joint. These fractures tend to result from high energy mechanisms (such as motor vehicle collisions) in younger individuals and from lower energy mechanisms (such as a fall from standing height) in elderly individuals. Two types of hip fractures are femoral neck fractures and intertrochanteric fractures.
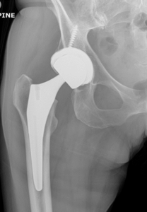
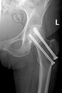
Femoral neck fractures occur when there is a break in the segment of bone that connects the thigh bone to the femoral head (Figure 1a). The femoral head is the “ball” portion of the hip joint which makes up the ball and socket of the joint. When the ball shifts out of place as a result of this fracture in an elderly individual, the treatment is often a form of hip replacement surgery (Figure 1b). When the ball has not shifted significantly, screws are often inserted to fix the bone in place (sometimes referred to as a pinning procedure, Figure 1c).



Intertrochanteric fractures are located in the upper end of the thigh bone in the region just below the femoral neck. Although close in proximity to femoral neck fractures, these fractures are very different from each other. One reason for this difference is that the intertrochanteric region of the hip has an excellent blood supply, whereas the blood supply through the femoral neck and into the femoral head (ball) is somewhat more tenuous. The blood supply to a fracture has a direct impact on the ability to heal. Because of this blood supply intertrochanteric fractures are likely to heal with surgical repair. Surgery typically involves re-alignment of the bones and fixation with either a plate and screws construct, or a rod and screws device (Figure 2).

After a hip fracture has occurred from a low energy mechanism it is important to speak with a doctor about osteoporosis. Osteoporosis is a disease that makes bones more brittle and more susceptible to breaking. A doctor may order a bone density scan (DEXA) to evaluate for osteoporosis and/or may prescribe medication and supplementation as treatment.
Fracture locations:
Hip fracture (proximal femur fracture)
Thigh fracture (femur shaft fracture)
Knee fracture (distal femur, patella, and tibial plateau fractures)
Shin fracture (tibial shaft fracture)
Ankle fracture (including pilon fracture)
Shoulder fracture (proximal humerus, and clavicle fractures)